Fortis Story
January 25, 2024 · Hospital News

Meet Fortis, the handsome American Pitt Bull Terrier who is approximately six-years-old. Fortis found his forever home when he met his to-be fur-mom who was a volunteer at an animal shelter. He was severely underweight and was in need of a lot of medical attention. On top of all of this he was very nervous around people due to a rough start in life.

In his new home, Fortis went from an unhappy dog that would sit in a corner of his kennel and trusted very few people, to realizing the vast majority of people want to help him or be his friend. Although Fortis still needs really slow introductions as he doesn’t realize he’s 92 lbs., he has an amazing trainer that understands him. His fur-mom, who has had many dogs including rescues, told us that she has learned more about dogs and people with Fortis than any other pup that she’s ever had.

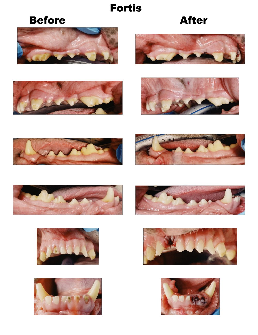
Sadly, Fortis was found abandoned in a crate prior to being rescued and had several broken and worn teeth from cage biting. His primary veterinarian referred him to our dentistry department so our veterinary dentist, Dr. Diane Carle, could treat him. After Dr. Carle performed a physical exam, he was placed under general anesthesia. We performed a dental CT scan called a Cone Beam CT and took full mouth radiographs in order to see the full extent of the damage done to his teeth.

The majority of Fortis’s teeth had heavy wear (abrasion) and/or fractures, but fortunately, most did not have exposed pulp and didn’t need treatment. His upper canine teeth were fractured and had exposed pulp and Dr. Carle performed root canal treatment of these teeth where she removed the infected pulp and sealed the pulp canals. He had four incisor teeth with exposed pulp and Dr. Carle extracted these teeth. He also had one tooth on the upper right where his body had absorbed the root and Dr. Carle removed the remaining tooth. Afterwards, his teeth were thoroughly cleaned.

Fortis recovered well after his anesthesia and was able to go home with his fur-mom the same day. Fortis will need annual dental radiographs of his root canal treated teeth, and to also monitor his upper right and left fourth premolar teeth, but the treatments Dr. Carle provided will give him a comfortable and healthy mouth.

Fortis is doing well at home and is back to doing his favorite activities: sniff walks and watching dog TV. He will soon be able to play with his favorite toy “snoop” and enjoy his favorite treats, apples and broccoli, once again. We are so happy that he found such an amazing forever home and was able to get the treatment he needed. Way to go, Fortis!

