Tracheal Collapse and Intraluminal Stenting: A Case Study
Case Study

Kiley is a 9 year old spayed female Yorkshire Terrier who was presented to the AMCS Internal Medicine Service for evaluation of tracheal collapse. She had been having a “goose honking” cough for years and was known to have tracheal collapse. More recently she started to have dyspneic episodes and intervention with intraluminal stenting was indicated.
Intraluminal stenting is a palliative, minimally invasive procedure that is an alternative to surgical procedures and directly addresses the physiology of collapse. Traditionally this has been thought of as a “salvage” procedure, but intervention at the beginning of medical management failure may ultimately result in better outcomes. We are recommending intervention at this stage now.

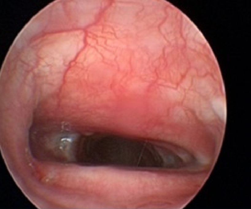
Thoracic radiographs were obtained in Kiley to rule out the presence of preexisting pneumonia and a full bronchoscopy was performed prior to fluoroscopy to grade and assess the degree and type of collapse. There is emerging evidence that the Grade IV collapse may be a different version of the disease and stenting may not be the best approach in these patients. Also, if bronchial collapse is present this may impact the outcome. Bronchial collapse by itself is not a reason to avoid stenting the trachea, but bronchial stents are not well tolerated or effective. Additionally, a wash was performed at the time of stent placement. In one study, endotracheal washes in dogs at the time of stent placement showed that 83% had evidence of inflammation, but surprisingly, 55% of dogs had positive airway cultures, indicating that the normal airway defense mechanisms are impaired in dogs with collapse. Kiley was diagnosed with Grade III intrathoracic tracheal collapse. Under fluoroscopic guidance a tracheal stent was placed spanning the length of the collapse and Kiley was recovered smoothly.
She was kept in clinic overnight to monitor for any complications post-stent placement and then discharged to the owners the following day. She was kept on hydrocodone, prednisone, and trazadone. She was rechecked 2 weeks later. Her cough remained, as it almost always will, but the honking and dyspnea had resolved. This is the goal of stent placement. Kiley continues to do well at home.

Interventional radiology, interventional endoscopy, and interventional oncology are all services that we at AMCS are currently providing to our referral base. This includes palliative stenting for tracheal collapse as well as for malignant vascular, urinary, respiratory, and gastrointestinal obstructions. Intra-arterial chemotherapy, transcatheter arterial embolization/chemoembolization, epistaxis embolization, and nasopharyngeal stenosis stenting can also be provided. We can also perform cystoscopic-guided laser ablation of ectopic ureters and laser assisted turbinectomy in brachycephalic dogs.
If you have a case you would like to refer, or have any questions on our services offered, please do not hesitate to contact Dr. Donovan.
